- Serwis Zdrowie
Jak wykazują badania naukowe, praca w nocy, z wielogodzinnym narażeniem na sztuczne oświetlenie oraz jej nieregularność może zaburzyć zegar biologiczny człowieka i mieć poważne konsekwencje. Zobacz jak możesz uchronić się przed skutkami pracy zmianowej i kiedy - ze względu na własne bezpieczeństwo - lepiej zrezygnować z takiego trybu pracy.
- redakcja OKCYDENT
O przedwczesnym dojrzewaniu mówimy, gdy zaobserwujemy jego objawy u dziewcząt przed 8., a u chłopców przed 9. rokiem życia. Warto znać przyczyny takiej sytuacji i wiedzieć, kiedy sygnały są alarmujące. Nierzadko bowiem przyczyną przedwczesnego dojrzewania są poważne schorzenia.
- redakcja OKCYDENT
Omikron dotrze do ludzi, których pozostałe warianty ominęły, i zapewni długoterminową odporność. Wraz z odpornością ze szczepionki może być ostatnim wariantem, który koncentruje tak dużo naszej uwagi – mówi biolog ewolucyjny, dr Rafał Mostowy. "Można mieć nadzieję, że w pewnym momencie zakażenie Sars-CoV-2 stanie się jak zwykłe przeziębienie" - dodaje prof. nauk medycznych Wojciech Szczeklik.
- Zbigniew Wojtasiński
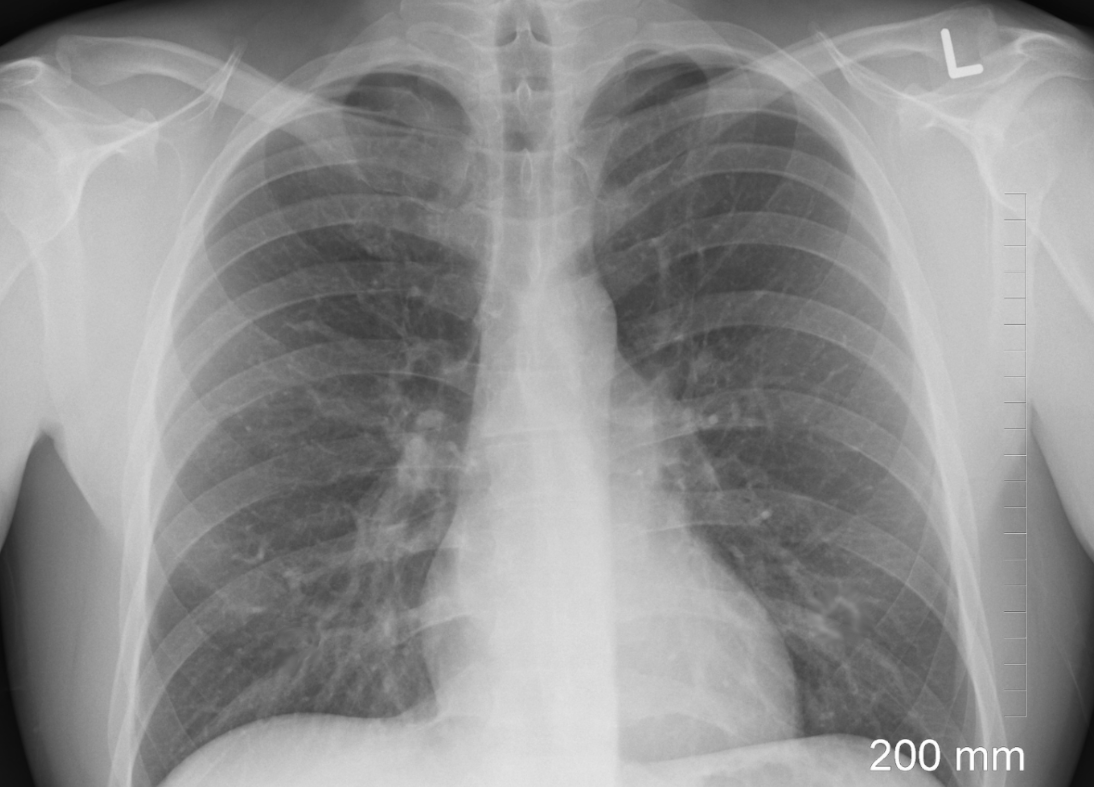
Jeśli saturacja jest poniżej 93 proc., to znaczna część płuc jest zajęta procesem zapalnym i należy się zgłosić na izbę przyjęć do szpitala – twierdzi dr Jacek Nasiłowski z WUM. Wyjaśnia, że w szpitalu stosowanych jest wiele metod tlenoterapii, a w domu są one niewielkie i ryzykowne. Do respiratora trzeba podłączać pacjenta, gdy nie pomaga już tlenoterapia wyskoprzepływowa – dodaje.
- redakcja OKCYDENT
Z nadejściem zimy Amerykańskie Towarzystwo Serca (American Heart Association - AHA) ostrzegło sercowców przed nierozważnym odgarnianiem śniegu z podjazdu czy chodnika. Podkreślają, że odśnieżanie to duży wysiłek, który, zwłaszcza w kontekście niskiej temperatury, może doprowadzić do incydentu sercowo-naczyniowego. Jeśli masz chory układ krążenia odśnieżaj z głową lub… poproś sąsiada – radzą amerykańscy naukowcy.
- Serwis Zdrowie
Antybiotyki to leki, które mogą wywołać sporo szkody lub nie zadziałać, jeśli nie będziemy ściśle przestrzegać określonych zasad w trakcie ich zażywania. Dowiedz się, jak prawidłowo postępować w trakcie i po antybiotykoterapii.
- Serwis Zdrowie
Szwedzi nie wprowadzili ostrego lockdownu, poszli inną drogą: miękkie rekomendacje, niewielkie – w porównaniu z innymi krajami – obostrzenia. Działała więc gastronomia, dzieci chodziły do szkoły. Na początku pandemii brak zabezpieczenia grup wysokiego ryzyka spowodował wysoki współczynnik zgonów z powodu COVID-19. Szwecja może się jednak pochwalić jednym z najniższych w Europie współczynników nadumieralności.



